新闻中心

新闻中心 news

一句“亲人”胜万言,风雨之后见真心

时间:2021-03-19

《阿甘正传》中有一句经典台词:“生活就像一盒巧克力,你永远不知道下一颗是什么味道。”

但生活中,也许有人恰巧能告诉你,下一颗巧克力并没有你想象的苦。


2021年3月11日,春寒仍在,一场温暖的会面在天津全景悄然发生。

患者蒋老先生(化名)的儿子紧紧握住李德鹏主任的手,李主任热情地询问蒋老先生恢复情况,家属发自内心的笑容就是最直观的回答。


患者家属与李德鹏主任(左)、富鹏医生(右)合影


时间回到2020年秋,七十多岁的蒋老先生在体检中发现右肺有阴影,做增强CT检查,得到的诊断意见是:肺癌可能性大。


短短六个字顷刻打破了这一家人平静的生活。


为了尽快确诊并为下一步治疗做好准备,蒋老先生来到天津全景做PET/CT检查。


第一天预约,第二天检查,第三天影像报告出来……命运在这72小时中似乎又有了拨云见日的转机。


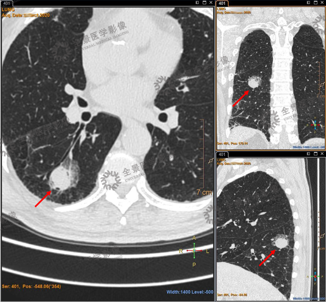
主写报告的富鹏主治医师和负责审核的李德鹏主任仔细研读了蒋老先生的片子,结合CT平扫和PET成像,最终认为从病灶形态、与周围组织的关系以及病灶代谢特点都不足以支持恶性肿瘤的诊断,更有可能是良性病变。


PET/CT 右肺下叶背段实性结节,FDG呈轻度摄取


富鹏医师回忆说,当他把这个结论及依据细细地讲给患者家属时,对方原本沉重的心情,又重新燃起的希望,就像穿透沉云的阳光。这光也照进他的心里,同样振奋与感动。


一个月后,蒋老先生接受了手术,术后病理结果为良性的肺腺瘤。

李主任亲自随访患者治疗情况


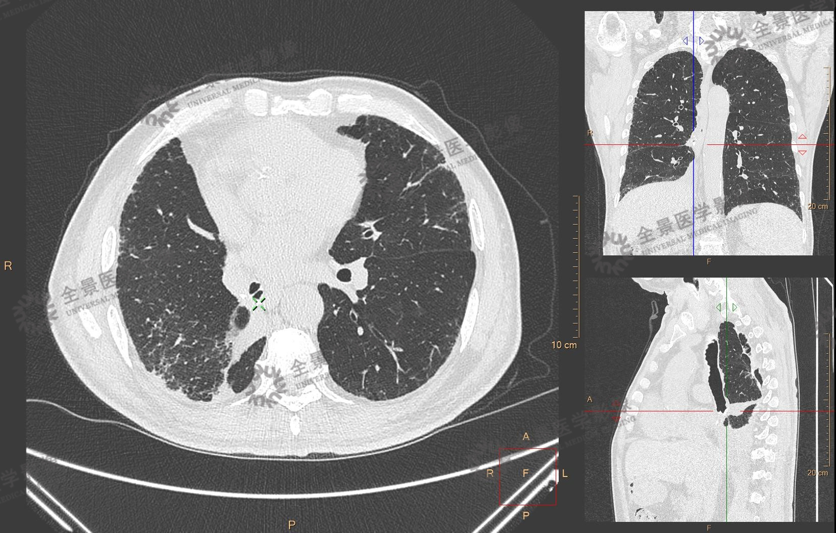
术后三个月,蒋老先生再次选择天津全景进行术后CT复查。桃李不言,但行动生发出的信任和替患者的喜悦交织在一起,是这个春天里最让人感动的画面。


术后CT复查 右肺下叶切除


作为肿瘤等疑难疾病的影像诊断机构,天津全景每天都承载着人间悲喜剧,有肿瘤可能大的失声顿足,有早期发现的万里幸一,有终于找到病因的云开雾散,也有奇迹出现的逢生之喜……这背后,是全景影像医生对受检者和家属责任的信守,是对过硬的诊断技术和精准影像执着追寻的信奉。


正是因为这份执着,每当遇到疑难病例时,天津全景甚至无偿为患者加扫磁共振,医生花费更多时间和心血,结合各种影像资料,进行综合分析、影像融合,以期为患者提供更明确的诊断意见,不负他们的希望,为临床诊治的选择提供更精准、更科学、更有利的帮助。


理解呵护,解决问题,这是每一位全景医技护人员的初心和衷心。


鲜红的锦旗永远记下这个结局美好的故事,一句“亲人”更胜过万语千言的赞美。来自患者的信任是鞭策天津全景努力创新的动力,激励天津全景在为患者和临床提供快捷贴心、专业精准医疗服务的道路上不断加速,奋斗不息。