新闻中心

新闻中心 news

反复便血6年,PET/CT找出真凶

时间:2021-03-30

一面锦旗 十分肯定


3月12日,上海全景医学影像虹口中心收到了一面浙江象山患者寄来的锦旗….故事是这样的…


反复便血6年 病因不明


李先生(化名),58岁,近六年来反复便血或黑便,血红蛋白一直低于正常值,在当地做了很多检查,包括腹部CT、无痛胃肠镜,也忍痛做了小肠镜,均未见异常。从便血→恢复→再便血,反复折磨困扰了6年之久,一家人很焦急而医生却又无可奈何。就在近日血红蛋白更是降到Hb:67g/L,已拖到严重贫血状态,李先生爱人实在不放心,为了找出李先生大便出血及贫血原因,四处咨询,最后通过朋友帮忙,找到了全景医学影像虹口中心石华铮院长,石院长在了解实情后,第一反应就觉得情况不太好,建议进一步影像判断。


微信图片_20210330093913

微信图片_20210330093916


部分外院相关检查报告

PET/CT 发现高代谢病灶


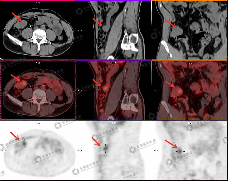
为了进一步查明便血及贫血原因,为李先生安排了PET/CT检查,果然,检查中发现,在回肠腔外有一个软组织肿块伴FDG代谢升高,是一个4厘米左右的肿瘤,幸运的是肿瘤周围未见明显侵犯和转移表现,考虑为小肠间质瘤,结合起病时长及肿瘤大小,考虑已经是低度恶性的可能大,建议尽快接受外科手术治疗。


微信图片_20210330093920

微信图片_20210330093923

全景PET/CT发现回肠区域腔外生长型间质瘤


石院长表示,虽然胃肠镜在诊断消化道疾病中具有直观能活检等优势,但针对性影像检查能发现肠胃壁间及壁外的改变,从而为临床补充更多证据以提高临床诊断的准确性,避免内镜仅能看腔内病变而出现遗漏。PET/CT检查对于小肠肿瘤病变的定位、定性及分期诊断有着不可替代的检查优势,正如这个病例,通过PET/CT发现腔外型小肠间质瘤,虽已是低度恶性,但尚未转移,口服「靶向药」(格列卫)就能很好地控制病情,免除病人因为遗漏诊断而出现不可挽回的地步。


手术结果证实:小肠间质瘤


虽历经六年,但幸运的是,此时的「小肠间质瘤」仍尚处于低度恶性阶段,并没有扩散转移,所以预后效果良好。术后不久,大便就恢复了正常颜色,血色素短期内也升上来了。准确诊断后的及时治疗,避免了病情恶化,消除了所有的担忧和焦虑,恢复健康后的李先生一家非常开心,也很感激,因此,才有开头从他乡寄来锦旗的暖人一幕。


为何李先生的小肠间质瘤一直被漏检


对此,石院长解释:间质瘤可以向腔内、壁间或腔外生长,前两者在小肠镜检查中很有可能被发现,而李先生的肿瘤是朝小肠腔外生长,小肠腔内并没有肿瘤,所以躲过了小肠镜的检查;而外院的CT又因为没有做胃肠道准备和增强,使得肿瘤与时刻在蠕动的小肠密不可分,对影像医生的技术也是较大的考验。



关于小肠间质瘤


胃肠间质瘤( gastrointestinal stromal tumor,GIST) 是消化系统常见的间叶源性肿瘤,最 常 发 生 于 胃 ( 60% ) ,其次是小肠( 35% )[1]。


早发现、早诊断、早治疗、提高生存率

小肠间质瘤( small intestinal stromal tumor,SIST) 恶性倾向相对其他部位高,临床起病隐匿,症状缺乏特异性,且由于小肠解剖位置的特殊性,使得各项检查难度较大,早期诊断困难,出现症状时往往肿瘤较大或已侵犯周围器官发生转移,尤其是合并其他疾病时,易误诊漏诊,甚至可出现消化道大出血、肠梗阻、穿孔及坏死等情况而危及生命。早发现、早诊断、早治疗,以提高患者的生存率和生存质量【2】。


在中心,一进门最耀眼的便是墙上一面面叠挂在一起的鲜红的锦旗。

有肿瘤早期发现,得到有效治疗,挽救了生命;

也有因多次未确诊病因,过来查出病灶;

还有要准备手术,过来确诊时发现之前竟被误诊,避免了不必要的手术损伤……

总之,每一面锦旗背后,都有一段感人至深的故事,虽然很多大家已忘记,但我们相信每个故事的结尾都是美好的!


案例提供 | 全景虹口中心


文献参考

【1】Miettinen M,Lasota J. Gastrointestinal stromal tumors: review on morphology. molecular pathology,prognosis,and differential diagnosis [J].Arch Pathol Lab Med,2006,130( 10) : 1466-1478.

【2】胃肠病学和肝病学杂志 2015 年 12 月第 24 卷第 12 期 Chin J Gastroenterol Hepatol,Mar 2016,Vol. 25,No. 03


医师简介

微信图片_20210330093927

石华铮院长

副主任医师 全景虹口中心院长


第二军医大学 影像与核医学专业硕士

从事医学影像学及PET/CT诊断工作十余年

较为擅长胸、腹部肿瘤的早期诊断

迄今已随访PET/CT病例十余万余例

工作团队曾获上海市科技进步奖三等奖一项

参编《肺外科学》、《胸部疾病诊断学》与《分子影像与核医学临床病例分析》,

在SCI及国内核心期刊发表论文十余篇

主持完成上海市卫计委课题一项,

参与多项课题研究

获得发明专利二项,实用新型发明专利三项