新闻中心

新闻中心 news

厚积薄发 张建博士取得里程碑式科研成果!

时间:2018-07-27
★ 喜讯 ★

磨砺沉淀,潜心钻研,心系临床,成就卓越成果!上海全景医学影像诊断中心常务副院长、医疗主任张建博士作为第二完成人获得军队科学技术进步二等奖,成果名称《PET-CT及综合影像新技术在胰腺病变诊断及临床决策中的价值》。该项目历经多轮遴选以及较长时间的公示和流程,是军改后由军委科技委颁发的首批科技奖励。项目针对胰腺病变的诊断及临床决策中的难点和问题,联合三甲医院权威团队,利用先进设备和丰富胰腺病例资源,开展了系列临床研究和总结,为PET/CT新技术的临床创新性运用和推广做了有益的探索。


项目简介

1. 提出革新PET/CT检查技术和采用综合影像诊断方法的新策略。针对常规PET/CT技术存在的对胰腺癌等病变诊断准确率较低、对临床决策提供信息局限等问题,开展PET/CT和增强CT的一站式同机融合检查、异机融合检查新技术,PET多时间点动态监测及定量计算获得Ki图新方法;建立含PET/CT以及MRI、增强CT、病理及临床等的综合影像数据库,开展PET/CT及综合影像系列研究。

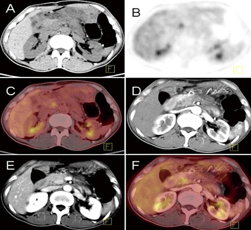
患者,女性,46岁,间歇性上腹部疼痛9个月。常规PET/CT平扫CT显示胰头低密度灶(A),FDG摄取增高(B、C,SUVmax = 2.93),根据代谢特点怀疑胰头癌;增强CT胰腺实质期(D)见胰头区低强化灶,门脉期病灶强化程度明显增加,密度接近周围正常胰腺组织(E),PET图像与门脉期增强CT图像融合,同时显示病灶的FDG摄取及增强特点(F)。本例PET/CT与增强CT融合图像特征,诊断胰腺炎,后经随访证实,而常规PET/CT很容易误诊为胰腺癌。

2. 对容易误诊为肿瘤的自身免疫性胰腺炎(AIP),开展了PET/CT及综合影像学研究。发现FDG PET/CT的胰腺及胰腺外代谢特征有助于AIP的诊断和全身评估,首先报道前列腺 “八字形”高代谢灶对诊断AIP有一定的特异性; MRI-DWI的ADC值、CT强化特征对AIP与胰腺癌的鉴别有价值。

AIP患者,男性, 71岁,上腹部不适3个月,肿瘤指标升高(CA19-9:266.30 U/mL, CA125: 55.24 U/mL)。PET/CT显示:双侧下颌下腺肿胀,FDG摄取增高(图A–C);左侧颌下淋巴结增大,FDG摄取增高(D—F),纵隔及肺门淋巴结高代谢(G–I),两肺间质性炎症伴胸腔积液(J–L),胰腺肿大弥漫性FDG摄取增高(M–O),前列腺倒“八字形”高代谢灶(Q、R),全身PET投影图像(S);PET/CT同时显示胰腺及胰腺外病灶,对AIP诊断有独到价值。MRI增强延迟期显示胰腺均匀一致强化,周围低信号环状包膜样结构,胆总管上段轻度扩张,管壁增厚(T);MRCP显示胆总管下段狭窄,胆囊增大,胆囊窝积液(U)。

3. 对特殊类型的胰腺恶性肿瘤实性假乳头状瘤,研究其葡萄糖代谢程度与肿瘤的侵袭性及增值活性的相关性, 并与CT、MRI对照,为手术方案制定及预后评价提供参考。

实性假乳头状瘤患者,女性,13岁,左上腹部疼痛不适就诊,增强CT(A-C)检查发现胰腺尾部肿块,平扫表现为密度不均匀,内部见液化坏死区,增强后实质成分动脉期及门脉期渐进性明显强化;PET/CT检查(D、E)肿瘤呈明显高代谢灶,行胰尾部+脾脏切除手术,术后病理切片发现病灶周围胰腺实质浸润及周围血管侵犯,肿瘤细胞丰富(F),未见异型细胞(G),富含泡沫巨噬细胞(H),增值指数Ki 67为4%(I),丰富的肿瘤细胞及高增值指数对应明显FDG高代谢,生物学行为表现周围侵犯及浸润特征。

4. 对胰腺少见类型肿瘤、胰腺癌不典型表现、容易误诊的良性病变的代谢和形态特征进行研究。胰腺少见肿瘤包括腺鳞癌、淋巴瘤、转移瘤等,容易误诊为肿瘤的良性病变包括胰腺异位副脾、潴留性囊肿、异位胰腺伴发胰腺炎,提高了鉴别诊断的准确性。

患者男性,46岁。磁共振见胰腺T2稍高信号,T1低信号病灶,增强后病灶不均匀强化;PET/CT上可见胰腺病灶成单发肿块,代谢明显增高,主胰管轻度扩张,同时MIP全身显像可见多发骨FDG摄取增高,与胰腺癌的全身骨转移难于鉴别。PET/CT上表现单发高代谢灶,肿瘤体积大,胰管扩张程度轻微,缺乏周围血管浸润征象,倾向于淋巴瘤。胰腺病灶穿刺活检证实为弥漫性大B细胞淋巴瘤。

此次获奖标志着该项成果达到了国内领先、国际先进的水平。张建博士2010年-2016年期间作为上海长海医院核医学的核心成员参与了整合医疗成果的研究和临床应用过程,并做出了突出贡献:

①发现了自身免疫性胰腺炎的胰腺外PET-CT表现,尤其是前列腺的“八字形”高代谢灶,对于AIP的诊断具有较好的特异性,减少了误诊,避免了不必要的手术;

②开展PET/CT和增强CT的一站式同机融合检查、异机融合检查新技术,提高了胰腺癌诊断和分期的准确性;

③总结了胰腺实性假乳头状瘤的PET图像代谢特征,提高了诊断准确性;

④分析了胰腺腺鳞癌的增强CT表现,提高了鉴别诊断效能等。

同时上述研究成果多次受邀在国家级继续教育学习班上授课、北美核医学和分子影像学年会(SNMMI)、日本核医学年会、中日核医学交流会、中华核医学与分子影像学年会等国内、国际顶级专业峰会做大会口头和壁报交流数十次,并多次获奖。通过成果的推广应用,让其更好地造福全世界的患者。