新闻中心

新闻中心 news

锦旗故事:愿世间的真性情,不仅带来感动更能启迪你我

时间:2023-06-16


爱出者爱返,

当这句话加上生命的分量,

付出者值,返回者重。


对于医生团队来讲,

6月里的一幅锦旗又铭记了一个沉甸甸的故事。




案例分享


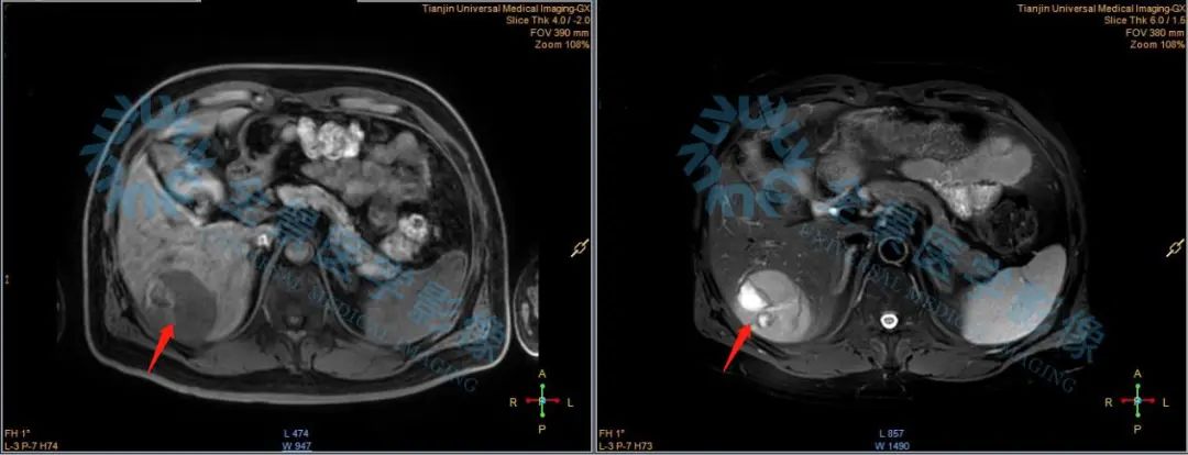
四十多岁的张先生(化名)体检时发现甲胎蛋白升高,就做了乙肝检查和肝脏增强CT,结果不但验出乙肝还在肝脏上发现了恶性病变。于是,张先生又做了全身PET/CT检查。

PET/CT提示病变部位为肝细胞肝癌;好的是未见全身明确转移扩散。



不过,肝细胞肝癌分化程度不同PET/CT检查结果也会受到影响。高分化型肝细胞肝癌细胞在组织上更接近正常肝细胞,也就是说无法被18FDGPET/CT检出。[1]

为了给出更准确的诊断意见,医生不但为张先生加扫了肝脏部位磁共振,二者信息融合,还进一步完善患者病史资料的搜集,参阅了患者以往影像检查资料。

最终,影像医生明确了肝细胞肝癌且未见明显转移扩散的结论,表示还有手术的机会。患者家属激动的心情可想而知。



什么是肝细胞肝癌


原发性肝病一般分为:肝细胞肝癌、胆管细胞癌和两者同时出现的混合型。原发性肝癌是我国第2位肿瘤致死病因,其中肝细胞肝癌占75%~85%且5年复发率高达80%。[2]


乙肝病毒易引发肝细胞肝癌

肝炎会增加肝癌风险,乙肝、丙肝等慢性病毒性肝炎是导致肝癌的重要原因。统计显示,我国肝癌病人中80%以上都有乙肝病史[3]。

乙肝病毒与肝细胞肝癌具有关联。乙肝病毒中有一段X基因被认为是病毒的癌基因,在没有基因变异的情况下,X基因能直接诱导肝细胞肝癌。[4]

张先生在发现甲胎蛋白升高后的进一步检查中,才发现患有乙肝,但乙肝存在多久已不可考。

肝细胞肝癌的治疗方法包括手术切除、肝移植和小肿瘤的射频消融,但任何有效治疗都依赖于早期诊断。[5]



肝癌如何早期发现



甲胎蛋白 (AFP)
急、慢性肝炎都可能引起甲胎蛋白升高。甲胎蛋白在肝细胞肝癌早期诊断中具有较高敏感度。

血清AFP>400ng/ml是诊断原发性肝癌的指标;
血清AFP>20ng/ml且<400ng/ml情况连续4周,对原发性肝癌诊断也具有重要参考价值。[6]

超声
超声具有便捷、实时、无创和无放射优势,是临床上最常用的影像学检查方法。[7]

增强CT和增强磁共振(MRI)
动态增强CT、多参数MRI扫描是肝脏超声、血清AFP筛查异常者明确诊断的首选影像学检查方法。

CT后处理技术可进行三维血管重建、肝脏体积和肝脏肿瘤体积测量、肺和骨骼等其他脏器组织转移评价。[8]

磁共振具有无辐射、组织分辨率高、多方位成像优势。多参数MRI对直径≤2cm肝癌的检出和诊断能力优于动态增强CT,在评估肝癌对门静脉、肝静脉主干及分支,腹腔或腹膜后间隙淋巴结转移方面具有优势。[9]

PET/CT

PET/CT检查优势在于全身显像,能一次扫描评估全身有无淋巴结及远处器官转移。PET/CT对转移性肝癌的诊断灵敏度为96%,特异度为99%。[10]



肝癌高危人群




  • 有乙肝或者丙肝病史,尤其是母婴垂直传播
  • 肝癌家族史,如直系亲属中有肝癌患者
  • 有酒精性肝硬化或者血吸虫肝硬化的患者,如合并肝炎则患癌风险加大
  • 饮食中经常含有致癌物质:如发霉的花生、薯干、萝卜干等。动、植物油有哈喇味后不宜食用
  • 其他慢性肝病:如自身免疫性肝病,原发性胆汁性肝硬化,脂肪肝,胆道系统疾病等


参考资料:

[1][5][10]国际放射医学核医学杂志,2021,45(05):319-324. PET/CT在肝细胞肝癌中的应用现状 王涛等
[2]国际外科学杂志,2022,49(12):859-864.肝细胞肝癌的新辅助治疗 曹洪祥,黄平
[3] 《我国80%肝癌由乙肝导致》人民健康网2018年06月07日10:55
[4]国外医学病毒学分册2003年10卷1期,乙肝病毒X基因与肝细胞肝癌 曹基辉等
[6] 肿瘤研究与临床2011年8月第23卷第8期 甲胎蛋白及其临床应用进展 刚锐等
[7][8][9]原发性肝癌诊疗指南(2022年版)中华人民共和国国家卫生健康委员会医政医管局