健康资讯

健康资讯 health

化疗后适合定期做petmr检查吗?petmr检查效果如何?

时间:2021-02-24

很多肿瘤患者在结束放化疗后都需要进行终身随访,因为医生要检测肿瘤有没有复发或者是否发生转移,那么作为当下先进的影像检查技术之一的petmr,可以适用于肿瘤的化疗后的检查吗?petmr检查效果如何?

petmr检查

答案当然是可以了,因为petmr的主要优势就是在肿瘤的早期诊断、良恶性的鉴别和全身转移灶的探查、肿瘤治疗放疗、化疗等疗效监测等。


但是是否所有肿瘤化疗后都可以用这个检查,需要医生来判断,而且还需要考虑患者本身的经济能力,因为petmr检查一次费用在上万元,对于术后检查周期较短的人来说,如果有另外一种方法可以做到监测,那甚好,但是遇到无法明确的情况,病情比较复杂那就需要配合做petmr检查了。


早前就有这样一个案例,一患者本身是膀胱癌,根据肿瘤生长浸润情况,患者接受了根治性膀胱切除术,并在术后接受了周期性化疗,治疗疗效很好。但是后来在定期的随访中,意外发现肝脏占位,经过超声和CT检查,医生结合既往膀胱癌病史以及所见影像学表现,考虑转移瘤可能性比较大,为了进一步明确病情,医生建议他做全身petmr检查。

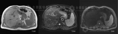
petmr检查影像图

petmr检查显示:膀胱癌根治术后,术区未见异常;肝左内叶可见一类圆形结节,边界部分不清,直径约1.5cm,T1WI呈稍低信号,T2WI呈稍高信号,DWI呈稍高信号,FDG摄取轻度增高,SUVmax=3.4,肝内外胆管未见明显扩张。

mr影像图

MR软组织分辨率高,对病灶形态细节显示更为清晰,功能序列丰富,结合PET提供的代谢信息,可以为临床提供详实的影像学诊断依据。


影像医生综合考虑膀胱癌好发转移多发生于淋巴结转移、骨转移等,肝转移较为少见;从影像表现来看该病灶T2信号偏低,并不属于典型转移瘤表现,结合FDG摄取情况,倾向考虑为良性或感染性病灶,建议治疗后短期复查。


根据此诊断意见,该患者进行了规律抗炎治疗后又进行了多次petmr检查、MR扫描复查。复查过程中,病灶逐步减小、消失,肝实质FDG代谢恢复正常,充分证明抗炎治疗有效,确证该病灶为肝内感染灶,肝脏转移瘤被完全排除。


可见对患者肿瘤化疗后定期检查,petmr检查效果显著。