健康资讯

健康资讯 health

petct全身检查

时间:2021-03-02

petct检查,顾名思义它就是将PET 和 CT 两种不同成像原理的设备,组合在一个系统之中。受检者只需要一次检查就能进行两次扫描,通过图像重建融合技术形成一副副叠加的 petct断层功能融合图像。


目前petct全身检查在肿瘤中的应用主要包括鉴别肿瘤的良性恶性、判断肿瘤的分期、评价 疗效、寻找原发灶和转移灶、评估肿瘤的恶性程度、制定放疗计划等等。


下面为让大家更清楚的了解petct全身检查,小编先给大家列举一个案例。


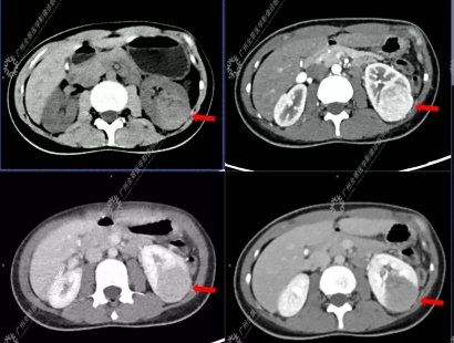
24岁的陈女士(化名)无明显诱因出现右肩背部疼痛、呼吸困难5天,在当地医院检查提示右侧液气胸,右肺压缩近98%,遂留置胸腔闭式引流管,同时肺部CT发现双肺多发“肺大泡”。在住院期间患者常规超声检查偶然发现左肾下极一较大肿块。当地医院CT检查提示为肾癌合并肾门淋巴结转移。为进一步全面评估患者分期,医生建议行petct全身检查。


检查提示陈女士右侧少量气胸,双肺散在薄壁空腔;左肾下极稍高密度肿块,糖代谢轻度增高(SUVmax为3.40);左肾门增大淋巴结,糖代谢未见增高。综合考虑肺淋巴管肌瘤病,左肾下极肿块为乏脂肪型错构瘤可能性大,需鉴别肾癌。

1.webp

2.webp

3.webp

4.webp

由于左肾肿块较大,陈女士决定手术治疗,最终左肾肿块病理诊断:血管平滑肌脂肪瘤,这一检查结果与petct诊断结果不谋而合。


故而从这个案例我们可以发现,petct全身检查在疑难病症诊断上的确优势明显。但尽管petct检查查体功能强大,但是并不是所有人都适合做该检查,尤其需要重点提醒的是健康人群做体检是不建议使用该技术的,因为该技术对人体有一定的辐射。所以临床上一般建议肿瘤高危人群、有癌前病变的人群、肿瘤疑似患者、肿瘤已确诊人群来做这个检查。