科研探索

科研探索 Research

一、PET/CT与MR异机融合技术在体部肿瘤诊断中的应用


针对疾病

神经系统、肺部、妇科(子宫、卵巢、乳腺)、泌尿系(肾脏、膀胱、前列腺)、消化系统(食管、胃、肝脏、胰腺)及部分骨骼肌肉病变等定性及分期



检查优势


1. 相对同机PET/MR:可根据需求给以单部位MR扫描;

• 技术方面:可以降低扫描的整体时间

• 诊断方面:可以补充MR对肺及骨成像缺陷


2. 相对单纯PET/CT:对某些头颅、前列腺、子宫、乳腺等实质器官小病变有着独特优势,可以更准确反映肿瘤患者转移情况,以提供患者治疗方法及预后评估。


3. 综合CT、MR、PET从组织结构、分子层面来全面了解患者情况,可适用于过敏患者。



PET/CT与MR:分子成像+软组织分辨率

• 相对绿色检查:低X线检查辐射
• 精细解剖:软组织分辨率高
• 精确定性、分期:敏感性高,准确性高
• 功能研究:PWI、MRS、DWI等
• 碘剂过敏
• 微小病灶检出率
• 疗效评估
• 价格
图像直观(临床科研、病情讲解)


男 50岁 小肝癌:




案例一


女性,78岁,大便带血月余,肠镜活检病理:直肠癌,行临床分期。



T3aN0M0,MRF(-),EMVI(-)



案例二


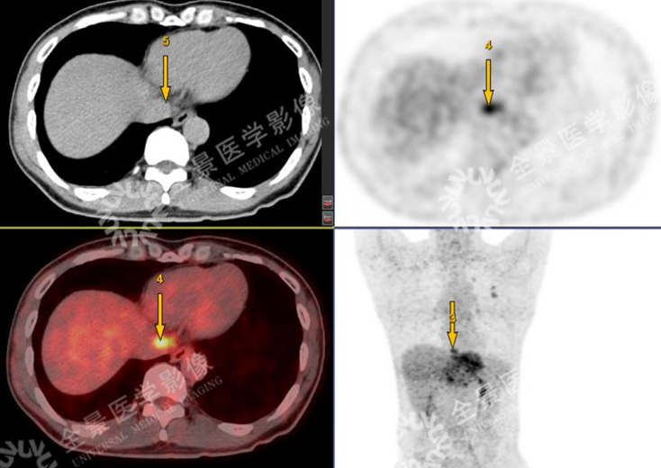
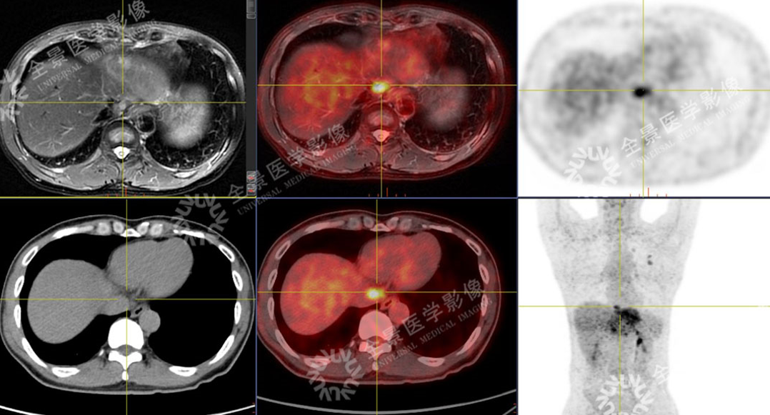
男性,57岁,上腹疼痛2月余,加重1周。外院CT:肝左叶占位。既往有乙肝病史多年。



SUVmax=4.59





PET示:腔静脉裂孔处结节FDG摄取增高;

CT示:无明显异常密度影。

怀疑:腔静脉癌栓?后心膈角区淋巴结?





确诊:腔静脉癌栓