科研探索

科研探索 Research

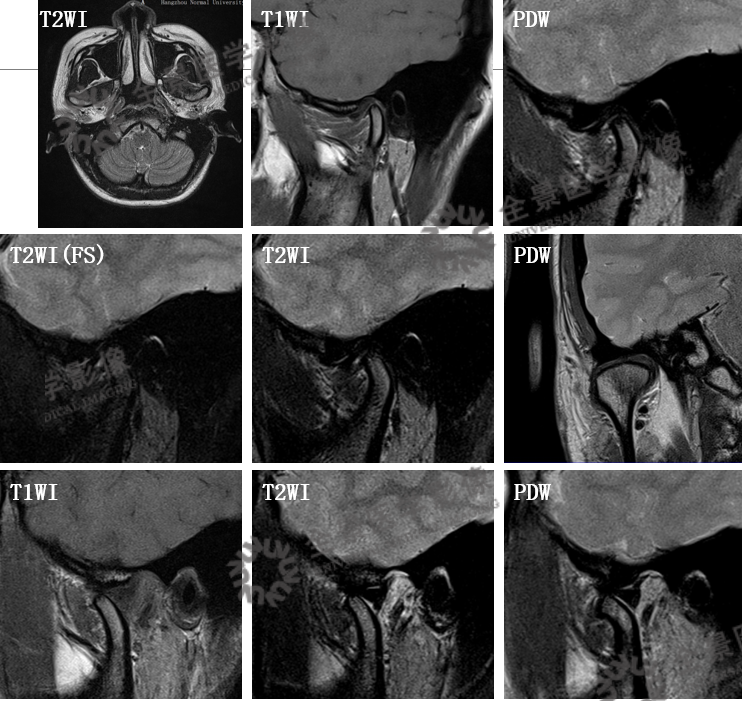
一、颞颌磁共振检查

概述

针对疾病:颞下颌关节紊乱病(TMD)


涉及科室:口腔科、口腔医院



检查优势

CT:对关节盘变形移位显示不佳


关节造影和关节镜:侵入性检查方法,一些对比剂过敏、皮肤感染及其他系统性疾病的患者使用时受到限制


MRI:可清楚、全面地反映关节结构及附件组织的变化。MR动态电影能够很好地显示关节盘、髁状突的运动情况



颞颌磁共振检查