肝癌在全球位居男性癌症第五位、女性癌症第七位,数量上约占全部癌症患者的7%。从死亡率来说,排名在肺癌及胃之后,位居全球癌症死亡第三位。原发性肝癌是指自肝细胞或肝内胆管细胞发生的恶性肿瘤,组织学分为肝细胞癌、胆管细胞癌和混合癌。可发生于各个年龄段,多发于40~49岁的男性。其发生与多种危险因素有关,最常见的是慢性病毒性肝炎(乙型肝炎及丙型肝炎》、酗酒、黄曲霉素,但也可发生于没有任何已知危险因素者。因此,对肝癌的筛查、早期定性诊断以及术前全身评估尤为重要。上海全景云医学影像诊断中心开展的PET/CT-MR异机融合技术,刚好为以上目标提供了很大帮助。
检查者当天先后分别进行MR增强及PET/CT检查,受检者血糖为正常值,静脉注射18F-FDG,静息45~60min后行常规PET/CT扫描。
常规PET/CT扫描,CT平扫层厚3mm;PET扫描层厚3mm。MR增强检查:选用增强造影剂钆双胺注射液进行肝脏常规增强扫描方式(动脉期20~30s,门静脉期50~60S,平衡期约3min)。肝脏MR增强扫描对原发性肝癌的检出率很高,尤其是对小肝癌的检出率远远高于其他影像检查。PET/CT可对肿瘤是否发生远处转移进行相对更加准确的全身评估。
(一)原发性肝脏肿瘤的筛查和定性诊断,尤其是筛查小肝癌的检出率高于PET/CT,并可观察病变与邻近血管的侵犯关系。
(二)肝脏单发病灶的定性诊断,特别是单发肝癌和肝转移瘤的鉴别。
(三)对原发性肝癌进行术前全身评估,PET/CT可检出是否有远处转移瘤
(四)肝癌术后或介入治疗后,术区切缘的异常强化,可通过病灶的强化方式结合PET/CT的药物代谢情况对术区炎症与肿瘤复发进行鉴别。
(五)肝硬化和肝功能的评估
(六)胆道系统的术前和术后显示和评估
实例一
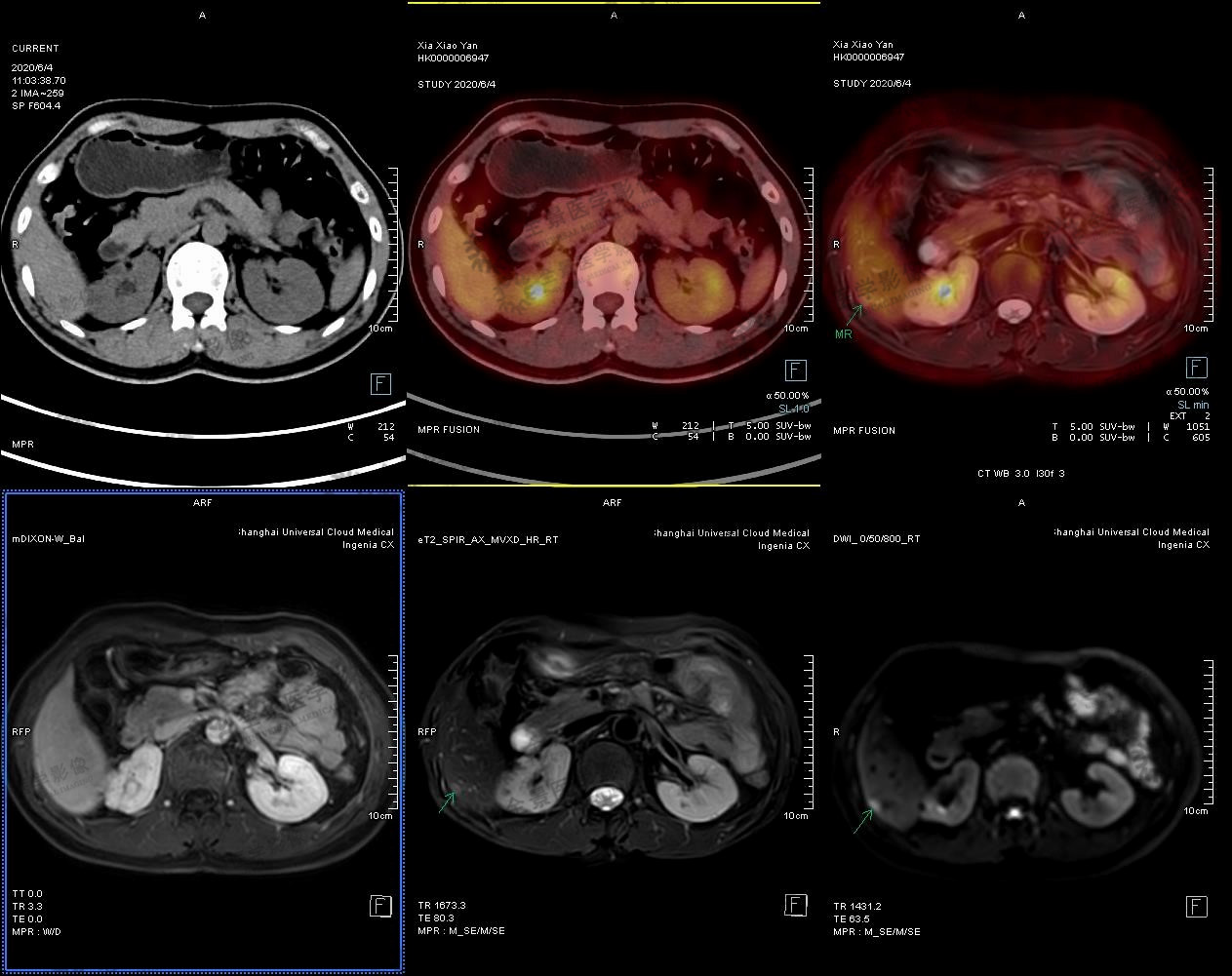
中年女性 外院体检发现肝脏小结节,乙肝病史不详。无明显不适症状。2020.5 于本中心行腹部MRI示:肝右后叶下段包膜下小结节,考虑小肝癌可能。


肝右后叶下段包膜下小结节,考虑小肝癌