√两项检查的优势互补:
同时满足对软组织分辨率的高标准要求以及对肿瘤分期的全身评估
√价格优势:
性价比高,针对性强
1. 胰腺占位
女 66岁 胰腺癌,PET/CT表现为FDG高代谢病变,增强MR病灶主体乏血供、低强化表现



2. 神经系统
CT及MR平扫占位效应明显
畸胎瘤
√MR显示病灶与脊髓的关系,压脂序列呈低信号;
√CT可显示病灶内钙化,可见少许脂肪密度;


3. 骨关节
骨巨细胞瘤

T2WI不均匀等信号,PET/CT显示:软组织肿块,FDG明显摄取增高。

增强扫描明显强化

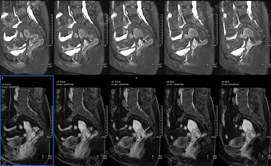
4. 妇科肿瘤
宫颈癌

病灶向上累及子宫峡部,向下累及阴道穹隆及相邻阴道壁,宫颈周围脂肪间隙清晰。
子宫内膜癌
对子宫肌层及周围结构侵犯进行临床分期