头颅“一站式”CT检查又称多模式头颅CT成像,包括CT平扫(NCCT),CT灌注成像(CTP)和CT血管成像(CTA)。
CT灌注成像(CTP)作为功能成像的方法,
临床主要应用于脑卒中缺血的评估。
随着高端CT的自适应4D螺旋扫描模式(摇篮床模式)的引入,探测器限制被克服,从而实现了全脑CT灌注。
硬件的改善使得低kV扫描成为可能,辐射剂量比较低。

13岁男性患者,因头痛、头晕就诊。
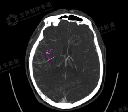
CT平扫示:右枕叶散在钙化灶。
头颅灌注示:右枕叶异常灌注,CBF较左侧降低,MTT、TTD时间延长。
利用灌注的原始数据评估脑血管情况
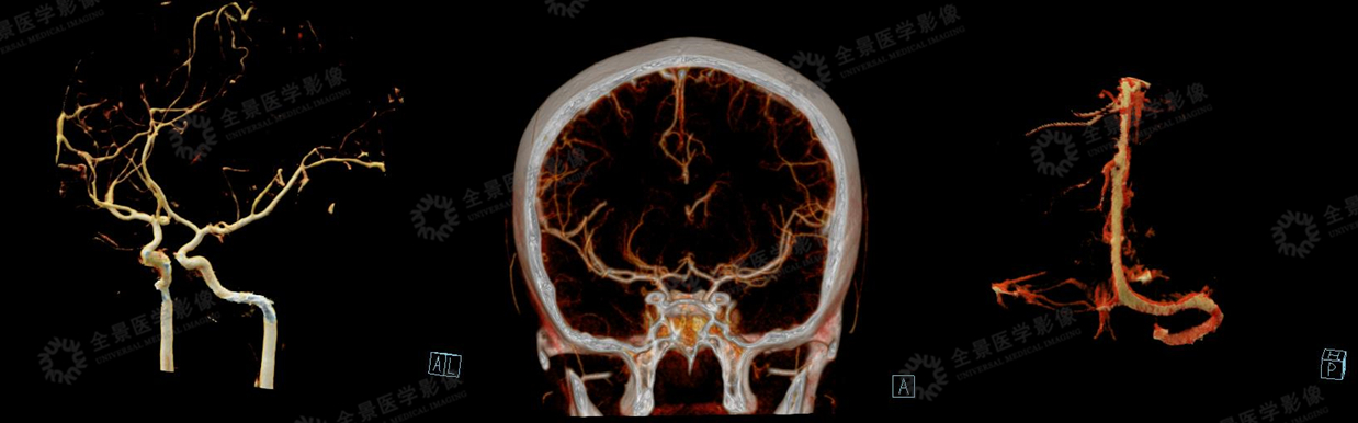
CTA未见明显异常。
一站式灌注血管成像示:脑动脉未见明显异常。
脑静脉成像可见右侧乙状窦、岩窦较左侧管径增宽,临近右枕叶脉络从静脉血管丰富。
临床诊断为:右枕叶颜面血管瘤综合征(Sturge-Weber综合征)
右侧额叶、基底节与对侧比较,CBF下降明显,CBV无明显差异,
MTT、TTD时间明显延长。(前循环供血范围)
CTA示:右侧颈内动脉闭塞,颅内血管多发粥样硬化。
CTV示:静脉未见明显异常。
右侧颞叶与左侧比较,CBF稍增加,CBV无明显差异,MTT、TTD时间稍延长。
通过多期的血管重建,发现右侧颞叶附近有明显的侧枝循环建立。
