面肌痉挛、三叉神经痛、舌咽神经痛等疾病,是一些神经过度兴奋,而导致功能异常的疾病,主要分为继发性和原发性两种,继发性主要是颅内的占位性病变压迫了相应的颅神经,而导致神经功能异常,而原发性的病因目前尚未完全肯定,现在主流认为一大部分的原发性病因是相应的神经出脑干区域(Root Exit Zone,REZ),受到搏动性血管的压迫,造成局部神经脱髓鞘,从而导致神经纤维传到过度兴奋。早在1976年就有研究者提出面神经痉挛是面神经的出脑干区域被微血管压迫所导致的,在此理论基础上的微血管减压术,通过从病因入手,获得了良好的治疗效果,许多文献中指出,术前分别血管与神经的解剖关系、责任血管的来源与走行、绒球小叶结及延髓外侧池蛛网膜下腔的距离等这些术前信息,对手术有良好的指导作用。
早期研究表明MRT影像学诊断与手术对照符合率为66%,另有学者在改进后,利用MRA联合MRT诊断面神经痉挛,与手术对照符合率可高达96%,从此MRTA作为判断神经与责任血管的位置关系影像学检查被广泛应用。
上海全景医学影像诊断中心利用西门子3.0T高场强磁共振扫描仪,采用MRTA序列为:3D TOF MRA序列联合T2 space序列,利用融合校准技术,形成多模态融合MRTA图像,可做到简化阅片,同时可以清晰显示三叉神经与责任血管的解剖关系,明确责任血管来源,并可以利用三维重建进行空间定位,对临床进行术前诊断、术前评估和指导手术方案具有重要的意义。
(一)继发性、原发性三叉神经痛、舌咽神经痛、面神经痉挛等周围神经系统疾病诊断。
(二)微血管减压术术前难易度评估及手术方案指定指导。
(三)原发性三叉神经痛介入治疗或手术后疗效复查评估。
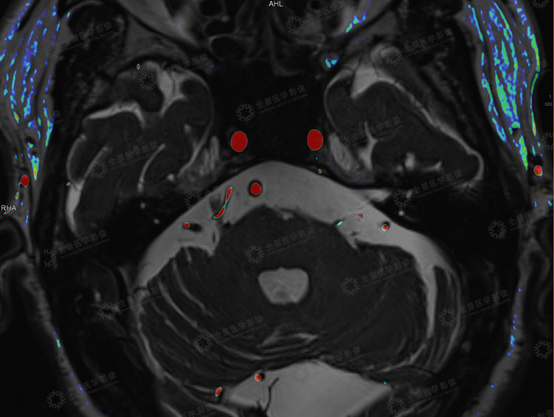
实例一
病史:患者,男,74岁,右侧面部疼痛7年,临床诊断:右侧三叉神经痛



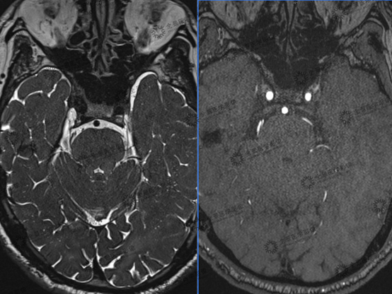
实例二
病史:患者,男,69岁,右侧三叉神经痛治疗后,再次右侧面部疼痛2月

部分参考文献:
【1】 [1] 胡吉波,戴平丰,章士正,胡兴越. 3D-TOF磁共振血管成像诊断血管压迫性三叉神经痛的价值[J]. 实用放射学杂志(3):177-179.
【2】 朱杏莉, 张永军, 庞亚卿. 血管压迫性三叉神经痛的3D-TOF-MRA序列磁共振成像与手术结果对照[J]. 中国医学影像技术, 2008(09):56-58.
【3】 朱军. 颅神经病变的磁共振成像新进展[J]. 国际神经病学神经外科学杂志, 2002, 29(005):391-394.
【4】 杨柳青, 张磊, 张冬,等. 血管压迫性面肌痉挛的磁共振断层血管成像表现及其诊断价值[J]. 第三军医大学学报, 2015, 037(012):1272-1276.
【5】 顾峰, 谢英遂. 三叉神经MRTA成像在三叉神经痛MVD术前评估中的应用价值[C]// 中国中西医结合学会医学影像专业委员会第十五次全国学术大会暨上海市中西医结合学会医学影像专业委员会2017年学术年会暨医学影像新技术的临床应用国家级继续教育学习班资料汇编. 2017.
声明:文中案例为全景所有,盗用必究