科研探索

科研探索 Research

七、电影级实影渲染技术CVRT 在冠脉CTA中的优势及临床应用

前言

近日,由国家心血管病中心组织编撰的《中国心血管病报告2018》概要示我国心血管病患病率持续上升,推算心血管病现患人数2.9亿,其中冠心病占1100万。至2016年,心血管病死亡率仍高居首位,高于肿瘤及其他疾病,每5例死亡中就有2例死于心血管病。对于冠心病的筛查和早期诊断以及冠心病的疾病评估及治疗后随访显得尤为重要。迄今为止,64排及后64排CT应用于冠状动脉血管成像已超过10年,以其无创、相对低剂量、快速、多方位、多信息成像等优势,已被临床广泛应用。上海全景中心率先大规模使用的西门子最新三维重建技术电影级实影渲染技术cVRT技术,使得冠状动脉CTA三维容积重建图像质量更趋于立体、逼真,为临床筛查、诊断、评估冠心病提供更详细、精确的影像信息。


技术特点

传统VRT(Volume Redering Technique)容积再现技术,是基于CT值来赋予不同组织以用不同的“透明度”来呈现,对于有较高密度差别的组织(如骨骼和充满对比剂的血管等)显示效果最好,目前仍是整个医学界CT三维重建显示的主力军,但其采用单(双)点光源,处理光与人体组织的关系,在图像细节与深度的处理不精细,缺乏真实光线下的阴影效果,缺乏真实感;cVRT(Cinemteic Volume Rendering Technique)即电影级的实影渲染技术,是基于光和物质相互作用的精确物理模拟技术,采用多个光源,让光与人体组织产生了多种交互(反射、折射、初级散射、次级散射等),深度和形态感知度得到了丰富和增强,形成更趋于真实的阴影,对于显示软组织解剖层次和血管更加清晰、准确的优势,同时三维解剖效果更趋于逼真,可为临床提供更详细的心脏信息。



适用范围

(一)先天性冠状动脉发育异常的评估(起源、走行、终止异常)

(二)冠心病高危人群的筛查及冠心病的评估

(三)心脏及血管解剖结构的诊断

(四)非冠心病心脏手术前冠状动脉评价

(五)冠状动脉支架置入术前评估及术后复查

(六)冠脉旁路移植术前评估及术后随访

(七)急性胸痛患者的鉴别诊断(必要时可行主动脉、肺动脉、冠脉CTA联合扫描)


典型实例

案例一

男,49岁,2018年冠脉CTA 提示LAD近中段混合密度斑块伴管腔中度狭窄,2年余后复查,自述近5个月胸痛发作情况增多,CTA提示病变有进展,斑块病变范围及不稳定性增加,管腔狭窄程度进展为重度狭窄,建议DSA检查明确。

钙化积分分析,黄色方框,提示LAD处的钙化成分有所增长。

MPR图像,黄色及红色箭头处,提示LAD近段的混合密度板块内的软斑块成分(不稳定成分增加)及钙化成分,无论从体积上,还是从病变长度上均有所增长,管腔壁变得更加毛糙不规则,管腔狭窄程度由中度变成重度,高度提示需要进一步DSA检查明确及治疗。

cVRT实影渲染技术,黄色箭头,清晰、立体、逼真地显示了LAD近中段管腔的毛糙及不规则狭窄。


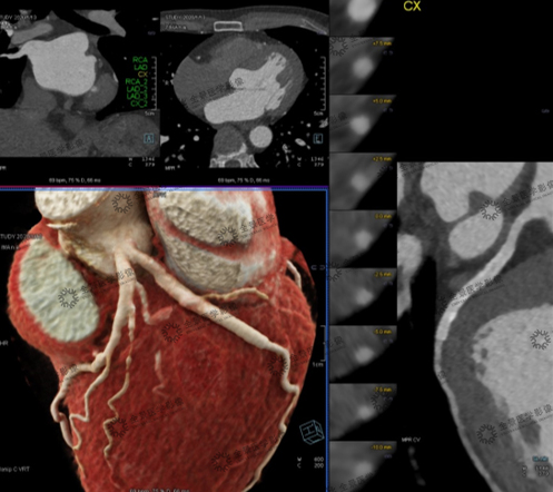
案例二

男,54岁,冠心病PCI术后,原始图像结合二维MPR及三维CVRT图像清晰显示,左回旋支CX近中段支架壁光滑、形态正常,支架通畅。



部分参考文献:

[1] 胡盛寿,高润霖,刘力生,等.《中国心血管病报告2018》概要。[J]中国循环杂志,2019,34(3): 209-220。

[2] Chen YD, Fang WY, Chen JY,etal. Chinese expert consensus on the non-invasive imaging examination pathways of stable coronary artery disease[J] J Geriatr Cardiol. 2018 Jan;15(1):30-40.



声明:文中案例为全景所有,盗用必究