科研探索

科研探索 Research

四、颞颌关节疾病MR诊断应用

微信图片_202007311130012

前言

颞下颌关节紊乱病(temporomandibular disorders,TMD)指累及咀嚼肌和(或)颞下颌关节,并具有下颌运动异常 、疼痛、 弹响 、杂音及咀嚼问题等临床表现。发生人群:20-40 岁,女性>男性;普通人群中 70% 的人至少患有 TMD 的症状之一,但仅有 5% 的人就医。目前 TMD 诊断通常要参考病史、体格检查及影像学检查结果。TMD 常表现为关节结构紊乱、骨关节病、关节炎症、周围软组织损伤等,MRI 的软组织分辨率高,且具有多参数、多序列及任意角度成像等特点,目前是临床常用的颞下颌关节影像检查方法之一。


技术特点

· 颞下颌关节(temporomandibular joint,TMJ)是人体颌面部唯一的可动性关节 ,也是人体全身关节中结构最复杂、运动最精细的关节。

· 对于颞下颌关节区的影像学检查方式有多种,如X线、CT、关节造影术、关节内窥镜术以及磁共振成像。X线平片仅能反映关节区硬组织的大略结构。 CT反映骨结构较强,但同样难以反映出软组织及关节内结构的情况。MRI检查对人体无任何放射性损害及创伤性,且能够清晰反映颞下颌关节区多方面内容,包括关节盘形态及位置、关节腔内积液、骨髓改变以及关节区多层次的骨结构改变,为临床诊疗提供了重要信息,因此磁共振成像已经成为诊断颞颌关节病变的主要检查方法。 


不可复性关节盘前移



适用范围

(1)颞下颌关节紊乱综合征:使用MRI观察主要的异常改变,包括关节盘的各种移位、关节盘形态改变、关节盘穿孔粘连以及各种骨质结构的改变。使用适应运动的、半动态的MRI,可提高对颞颌关节运动复杂性的理解。

(2)颞下颌关节的炎症性病变:观察关节腔积液、显示关节周围组织滑膜炎早期表现及周围骨髓受累。

(3)颞下颌关节区肿瘤:发生在颞下颌关节区的肿瘤性病变相对较少,然而对这些肿瘤进行准确诊断和及时治疗,对防止病变进一步发展是十分必要的。MRI具有高分辨力对评价肿瘤软组织浸润是非常有用的。


典型实例

实例一

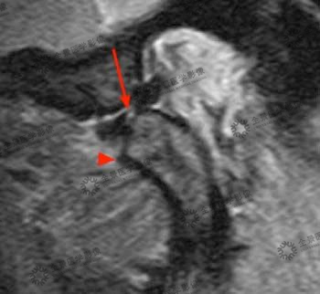
病史:一名57岁女性患有慢性下颌疼痛,突然弹出和卡嗒声,斜矢状质子密度加权图像。髁突略微变形,并带有小的前骨赘生物(箭头)。并见关节盘中间区域局部高信号。

结论:考虑关节盘重度损伤(箭头)。

微信图片_202007311130011



实例二

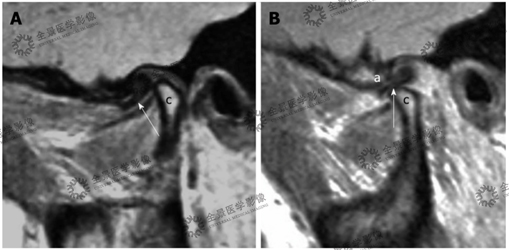
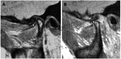
病史:一名56岁女性患有颞颌关节弹响。

结论:可复性关节盘前移:A.闭口位示下颌髁突前方(c)的前移关节盘(白箭头);B.张口位示关节盘(白箭头)复位至下颌髁突(c)与颞骨(a)之间。

微信图片_202007311130012



部分参考文献:

[1] Bag, A. K., Gaddikeri, S., Singhal, A., Hardin, S., Tran, B. D., Medina, J. A., & Curé, J. K. (2014). Imaging of the temporomandibular joint: An update. World journal of radiology, 6(8), 567–582.

[2] Larheim, T. A. (2005). Role of magnetic resonance imaging in the clinical diagnosis of the temporomandibular joint. Cells Tissues Organs, 180(1), 6-21. 



声明:文中案例为全景所有,盗用必究