心脏磁共振作为一种影像学检查,无电离辐射且组织对比度较高,可发现心肌内组织学改变(水肿,坏死和纤维化),从而较好地诊断心肌炎、心肌浸润性疾病和心肌损伤,并对心肌梗死、肥厚性心脏病和各种心肌病患者进行危险分层,识别猝死高危患者;不必用CT增强对比剂即可检查冠脉的堵塞程度。是筛查冠心病、心脏功能分析、测定心肌坏死面积的新方法。
1. 心脏形态成像
由于良好的组织对比度,能够较清晰显示心肌、心包、内膜、血管壁等心血管解剖结构。同时磁共报对比成像可以识别组织成分,包括脂肪、纤维组织、出血、水肿等。

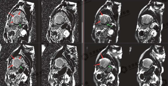
▲黑血序列:
白色箭头:正常心肌
红色箭头:水肿心肌
2. 心脏功能成像
磁共振心功能成像真实描绘左室收缩与舒张的形态,精确重建左室的几何形状,从而计算出各种心脏功能参数,且可以用于其他影像学检查难以评判的右心室。

▲电影序列
3. 延迟强化成像
唯一可以发现心肌坏死和纤维化的无创性方法。对评估心肌梗死面积和各种心肌病的病因和危险分层具有价值。

▲延迟强化序列:
红色箭头:梗死心肌
绿色箭头:正常心肌
4. 磁共振冠脉成像
不适用对比剂的冠脉序列无论在稳定性还是图像的空间分辨率均取得很大的进步,为健康体检、造影剂过敏、肾功能损伤等人群提供了CTA以外的检查方法。

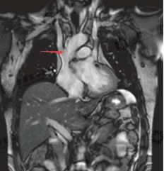
5. 大血管病变
MRI除了可以显示病变结构,如先天畸形、主动脉夹层的破口位置、累及范围等,还可以利用PC法进行血流测量,显示腔内血流在心动周期不同阶段的速率和方向,为正确、及时治疗提供形态学和功能学信息。

6. 冠心病支架术后心肌活性评价
延迟增强是磁共振评估心肌活性的方法之一,近年来广泛用于区别存活心肌和坏死心肌。早期判断对局部心肌是否能存活对指导治疗很重要。因此,术前评判患者心肌活性情况,可以判断血管重建术的必要性及可行性,从而避免手术风险的可能。另外,通过干预治疗,对比正常心肌、梗死心肌,存活与非存活心肌的治疗前后情况,可以更客观地评价治疗疗效。
案例展示:
老年男性,一年前植入支架两枚,左室心尖部室壁瘤,近日呼吸困难、气喘等临床体征加重,行磁共振作外科手术前评价。
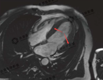
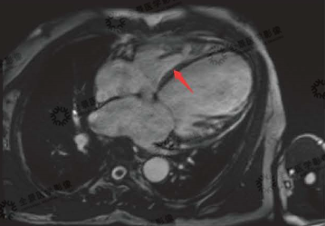
▲电影序列
全心变大,红色箭头:变薄心肌

▲A:延迟强化序列 B:电影序列
红色箭头:显示二腔心界面中,前壁、心尖部和后壁环死心肌范围及透壁程度

▲C:延迟强化序列 D:电影序列
红色箭头:中央部短轴显示前壁及前间隔壁、下间隔壁的梗死范围及透壁程度

▲灌注序列
红色箭头:缺血区域充盈缺损表现
磁共振显示:该患者冠心病,心肌梗死,梗死心肌占左室总体60%,前降支供血区透壁性心肌梗死;右冠状动脉、旋支供血区基底部及中间段大部分心肌存活,心尖段心肌透壁性梗死。全心增大,心功能不全。
7. 心肌炎
心肌炎是由多种原因引起的心肌组织的炎性病变,CMR能进行心脏结构、功能、心肌灌注的一站式扫描以及准确的定量评价,尤其可以直接观察心肌组织成分的改变,而且重复性高。针对心肌炎,由于CMR独特的组织分辨力,能直接观察心肌组织的病理改变特征,如心肌水肿、毛细血管渗漏、充血、细胞坏死及纤维化缩痕形成等心肌炎活动期的病理改变。
案例展示:
青年男性,高血压3年,规律服用中药控制,一月前有发热、咳嗽现象,并出现下肢浮肿,行磁共振协诊心肌炎病程。

▲延迟强化序列
左心室少量纤维化心肌(心肌炎恢复期)

▲电影序列
箭头所示为高血压致的变厚心肌
磁共振显示:左房增大,运动功能减低,左室弥漫性增厚,左心功能不全,符合高血压性心肌改变;左室少量心外膜下心肌纤维化,结合病史,考虑为心肌炎恢复期改变。
8. 有高血压病史的肥厚型心肌病
肥厚型心肌病表现为心室壁肥厚为特征,目前认为与遗传因素相关。但高血压、瓣膜病等同样会引起心肌肥厚的影像表现,传统影像学上难以将两者鉴别。对于肥厚型心肌病影像学特征,CMR有一定的优越性。
CMR能准确显示心肌肥厚的部位和程度,特别是对心尖部肥厚型心肌病更具优势。而且对于房、室的内径,形态,左室流出道狭窄程度等以及左室功能进行精确测量评估。确定非对称性间隔肥厚型HCM,区别梗阻性及非梗阻性。
案例展示:
中老年女性,高血压多年。B超提示肥厚型心肌病可能,主动脉瓣重度狭窄伴轻度返流,左室舒张功能减退。

▲重度狭窄的主动脉流出道

▲电影序列
红色箭头:非对称性增厚的心肌
黄色箭头:正常心肌
绿色箭头:二尖瓣反流血流信号

▲延迟强化序列
红色箭头:部分因为损伤纤维化的心肌
磁共振显示:心肌为非对称性肥厚,且部分心肌伴有纤维化表现,该患者为非对称性肥厚型心肌病。
9. 瓣膜置换术前评估
心脏期猴病的主要原因包括风温热、粘液变性、退行性改变、先天性跨形、缺血性环死、感染和创伤等,一旦出现扶军或关闭不全,便会妨碍正常的血液流动,增加心脏负担,从而引起心脏功能损害,导致心力衰竭。
CMR为外科手术治疗提供术前评估。
案例展示:
中老年女性,胸闷气短3年。超声心动图:LVEF 71%,重度主动脉瓣狭窄,轻度返流,左室舒张功能减退,行磁共报检查作主动脉瓣置换术术前评估。

▲心脏电影序列
心脏电影示心室壁运动无明显异常,各节段运动协调,LVEF:71.7%

▲延迟强化序列
基底段-中央段间隔量、心尖段前型,间隔型、下型、侧整心肌中层可见条片状延迟强化(红色箭头)
心脏磁共振显示:非对称性肥厚型心肌病,间隔壁多发心肌纤维化,左心房大;主动脉瓣重度狭窄;二尖瓣反流。