
40至60岁是恶性肿瘤快速升高,集中爆发的时期。[1] 早期癌症其实没有什么典型的临床症状,即便有一些不典型表现,也容易被忽视。当身体有明显感觉时,往往已经到了中晚期。
因此,40-60岁进行肿瘤的早期筛查很有必要。
随着医学技术的不断完善,综合运用多种检查手段早期发现全身肿瘤已不再是难题。作为独立医学影像诊断中心,徐州全景推出PET/CT与MR联合检查,融合诊断新技术,充分发挥不同设备优势,为临床诊断治疗提供丰富可靠的依据。
案例分享
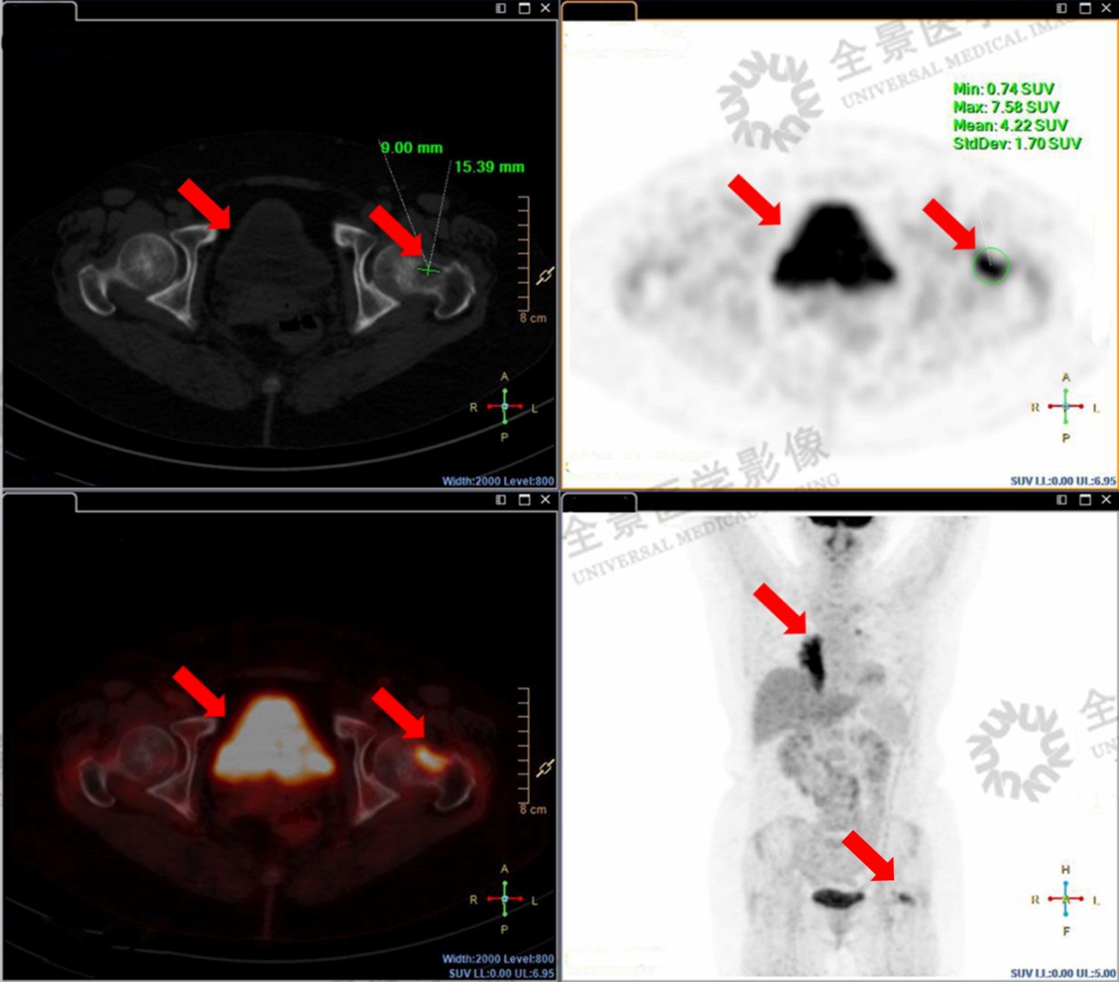
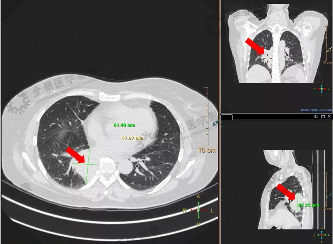
中年女性,咳嗽半年,做CT检查发现有占位性病变,但不能确定性质。通过PET/CT,发现右肺下叶肿块,在双侧肺门淋巴结、左侧股骨颈、脑部等多部位有代谢异常增高区域,考虑多处转移。
右肺下叶软组织肿块
左股骨颈骨质破坏
由于大脑皮层活跃时也有正常的代谢增高表现,仅凭PET/CT还不能准确定性脑部高代谢区域的性质,因此又有针对性地做了头颅磁共振扫描。
经过PET/CT和MR检查图像融合分析后确定:左额中回的高摄取区未发现占位,考虑为正常脑实质代谢;额定交界区高代谢结节考虑为转移。
额中回高代谢结节,考虑正常脑实质代谢
额顶交界区高代谢结节,考虑转移
PET/CT与MR异机融合技术,优势互补,为明确病情提供更有价值的诊断信息。同时,徐州全景“一站式”的检查服务,也减少了受检者的等候时间和奔波劳苦。
[1] 参考资料:《2019年全国癌症报告》