PET/MR是全球公认的在恶性肿瘤、神经系统疾病的早期筛查和诊断上先进的医学影像设备之一。将两次检查“正电子扫描(PET)和磁共振成像(MR)”合并为一次,同时进行全身解剖水平+细胞代谢水平的检查,缩短检查时间;辐射低,且无电离辐射。
1. 肿瘤
· 对恶性肿瘤的敏感性和特异性更高,可早期发现人体微小肿瘤
· 为肿瘤的早期诊断、定位、定性、监测等工作提供全面的影像学支持
· PET/MR在脑肿瘤、骨骼肿瘤、泌尿系统肿瘤、肝脏及其他腹部肿瘤、乳腺肿瘤等诊断、分期、疗效观察等方面具有优势
案例1:中老年男性,上腹部胀4-5天,夜间隐痛。实验室检查发现Ca199升高,41.93ng/ml。PET/MR胰腺体部局部结节,FDG摄取明显增高。
结论:考虑胰腺癌,后经手术证实。
案例2:中年女性,下腹部坠胀感1个月。宫颈可见一类圆形软组织信号,大小约2.3cm*2.5cm,FDG摄取增高。
结论:病理诊断为宫颈鳞状细胞癌。PET/MR对子宫、卵巢显示优于PET/CT,可清晰病灶大小,形态及周围浸润情况。

案
2. 神经系统
· 癫痫病灶的定位诊断
· 帕金森氏病、阿尔茨海默病、脑血管性疾病、老年性痴呆等疾病的早期诊断
· 脑损伤后脑代谢状况评估
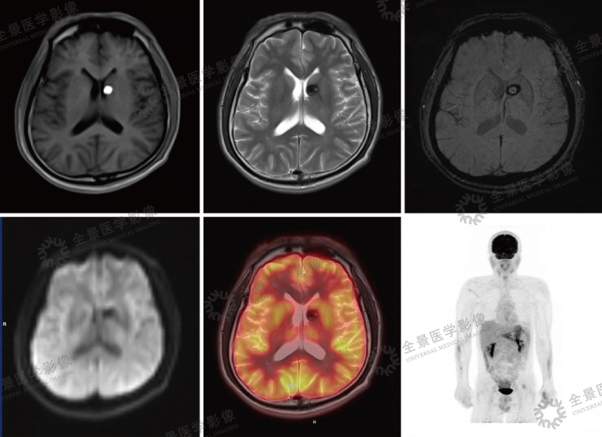
案例:中年男性,PET/MR发现脑内左侧基底节区一直径约1.2cm的结节,PET/MR通过多序列扫描,协助诊断。
结论:本例运用了SWI(磁敏感加权成像)清晰显示了海绵状血管瘤伴出血的特征。

3. 心血管系统
在心肌存活性检测和心功能评价领域具有价值。
图为心脏18F-FDG 首次通过PET/MR成像:
4. 儿童肿瘤
儿童肿瘤中淋巴瘤、骨骼肿瘤和软组织肿瘤均为发病率较高的病种。PET/MR所具备的低剂量和快速全身扫描特点,为儿童肿瘤的诊断发现、分期和疗效评估提供了重要价值。
案例:男童,左股骨下段痛2周,有压痛,表皮无明显红肿,MR示左股骨中下段骨质破坏,软组织肿块形成周围骨膜反应明显,增强后有强化,DWI呈高信号。PET/MR示病灶FDG明显摄取增高。
结论:考虑恶性肿瘤,随后活检病理证实为骨肉瘤。

声明:文中案例为全景所有,不得下载,盗用必究