
西门子Biograph mCT.S (PET/CT)将PET与CT融为一体,由PET提供病灶详尽的功能与代谢等分子信息,而CT提供病灶的解剖定位,能分别获得解剖与功能成像两者融合的全身横断面、矢状面和冠状面图片,可直观地评估疾病在全身的受累部位及程度。检查结果较为准确,提高了对小病灶的诊断能力。
· 对肿瘤的早期发现、早期诊断有意义
· 肿瘤的良恶性鉴别诊断
· 对已确诊恶性肿瘤人群进行分期诊断
· 为临床医生治疗方案提供参考价值
· 对于肿瘤治疗后疗效的评估
案例:老年女性,体检发现右肺下叶占位,性质不明,行PET/CT评估,右肺下叶背段软组织肿块,长径约4.0cm,FDG明后摄取增高。
结论:本中心诊断为肺癌,经手术病理证实为非小细胞肺癌。

· 血管性疾病引起的功能改变有诊断价值,如烟雾病
· 对老年性痴呆和帕金森病有诊断价值
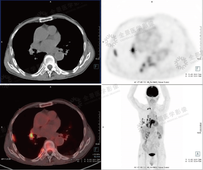
案例:老年女性,因体检发现纵隔占位。PET/CT提示右胸腔脊柱旁巨大囊实性占位伴实性区FDG摄取增高,相邻肋骨溶骨性骨质破坏。
结论:考虑神经源性肿瘤可能大,病理诊断富于细胞神经鞘瘤。

· 在大动脉炎等自身免疫性疾病的研究方面,PET/CT会给我们提供很有价值的帮助,并有助于排除其他肿瘤性疾病
案例:老年男性,因出现两侧肋骨区疼痛就诊,伴低热及夜间盗汗,外院胸部CT检查提示椎体多发骨质破坏,血化验:血沉、C-反应蛋白指标升高,要求进一步检查。PET/CT检查提示T7、T8椎体及附件、相邻右侧肋骨骨质破坏,椎旁软组织增厚。
结论:考虑结核可能大。病理诊断为椎体骨结核。
手术、放疗、化疗等某种治疗后,通过PET/CT检查可以确定肿瘤是否有变化、肿瘤细胞的活跃性是否降低、全身有无扩散,可以判断出之前的治疗效果。
案例:青年男性,因发热伴脾肿大1个月,2016年1月来本中心行PET/CT检查,发现脾脏明显肿大、肝门区淋巴结肿大及全身骨髓腔广泛摄取,
均伴FDG明显高摄取。
结论:诊断为淋巴瘤。后临床确诊为弥漫大B细胞性淋巴瘤。
治疗前:

治疗后: