
西门子MAGNETOM Skyra (3.0T磁共振),具有无X射线辐射、成像参数多、多方位成像的特点,可进行血管或水成像,在脑、脊髓、椎间盘检查中具有优势,骨关节系统显示病变敏感,软骨及软组织分辨好。
对颅脑、甲状腺、乳腺、肝、胆、胰、脾、肾、肾上腺、子宫、卵巢、前列腺、骨与关节、脊柱脊髓等器官的疾病和有较好的诊断功能,也适用于恶性肿瘤、心脏及脑血管疾病、中枢神经系统病变等。
•RESOLVE高清弥散、解剖弥散成像、自由呼吸平台
•Tim4G_高密度线圈高分辨率、快速成像
•可降低绝大部分噪音声压 包括颅脑/脊柱/骨关节/体部在内的全身静音
1. 中枢神经系统病变
MRI是中枢神经系统的较佳检查设备。对中枢神经系统病变的定位、定性诊断有帮助。另有时间飞行技术(TOF)行脑血管MRA,不用注射对比剂即可显示头颈部的血管。
案例:中老年男性,头痛2周,既往有脑出血病史。颅脑MRA示:左侧大脑中动脉及大脑前动脉远段增粗,左侧额叶见畸形的血管团,由左侧大脑中动脉分支参与供血,左侧大脑前动脉分支可疑参与供血。左侧大脑前动脉拼周支分别见梭形扩张及浆果样的动脉瘤,最大直径分别为13mm、5mm,前者呈窄基底与载瘤动脉相连,瘤颈约1mm,后者呈宽基底与载瘤动脉相连。左侧大脑前动脉拼周支两枚动脉瘤。
结论:左侧额叶动静脉畸形(AVM),左侧大脑前动脉动脉瘤。
· 磁共振可以在不打造影剂的情况下,获得三维MRA血管影像,是一种无创伤的血管检查,可以作为DSA的前期筛选和术后的疗效评价。
案例:中老年男性,头痛2周,既往有脑出血病史。颅脑MRA示:左侧大脑中动脉及大脑前动脉远段增粗,左侧额叶见畸形的血管团,由左侧大脑中动脉分支参与供血,左侧大脑前动脉分支可疑参与供血。左侧大脑前动脉肤周支分别见梭形扩张及浆果样的动脉瘤,最大直径分别为13mm、5mm,前者呈窄基底与载瘤动脉相连,瘤颈约1mm,后者呈宽基底与载瘤动脉相连。左侧大脑前动脉拼周支两枚动脉瘤。
结论:左侧额叶动静脉畸形(AVM),左侧大脑前动脉动脉瘤。
3. 乳腺肿瘤
早期乳腺癌筛查,建议结合磁共振、乳腺钼靶及超声,通过动态增强与动态曲线的构画,能取得更高的诊断效能。
案例:老年女性,发现左侧乳腺结节1周,半年前外院体检未见异常。我院发现左侧乳腺内上象限不规则形肿块,周缘及后缘突起处早期强化明显,DEC-TIC曲线呈廓清型。左侧乳腺内上象限肿块,考虑乳腺癌可能性大,伴后缘处弥漫性改变,相邻血管增粗扭曲,提BI-RADS 4类。
结论:浸润性乳腺癌(三阴性)
· 通过MR肝脏脂肪定量分析,对脂肪肝患者治疗前后对比有积极意义。
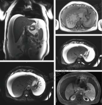
案例:中老年男性,体检发现肝占位,左叶内侧段小结节,约10mm左右,当地普外科考虑小肝癌,建议手术治疗。为明确诊断。我们为他进行MRI普美显增强扫描肝脏大小、形态正常,肝表面光滑,左右叶比例协调,肝裂不宽;肝左叶内侧段见一类隋圆形结节影,长径约10mm,T1WI呈等低信号,T2WI呈等稍高信号,DWI呈稍高信号,增强扫描肝动脉期明显强化,门静脉期及延迟期呈稍高信号,肝胆期呈高信号。
结论:肝脏左叶内侧段结节,诊断:肝脏局灶性结节增生(FNH)。
磁共振动态增强及尿路成像(MRU)动态增强,能对疾病性质进行评估,MRU对肾、输尿管梗阻、狭窄显示清楚,与静脉肾盂造影、逆行肾盂造影两者具有互补作用。
案例:中年女性,纳差,腹胀3周,否认乙肝病史,外院CT示:肝内低密度灶,腹盆腔大量积液。左肾囊肿。肝脏轮廓光整,肝左右叶比例正常,肝左叶外侧段见类楠圆形囊状水样信号灶,长径约20mm,增强扫描未见强化。肝内未见异常强化灶。肝内血管走行正常,肝内、外胆管未见扩张。下腔静脉肝段呈扁线状改变。胆囊大小正常,壁未见增厚,囊内未见异常信号。脾脏增大,信号未见异常,增强未见异常强化。胰腺形态、大小正常,信号均匀,增强未见异常强化,胰管未见扩张。双侧肾脏大小、位置、形态正常,双肾实质内见数枚囊状水样信号灶,大者位于左肾,长径约21mm。双侧肾上腺形态及信号未见异常。全腹大量腹水,包括网膜囊下隐窝大量腹水,腹膜后未见肿大的淋巴结。
结论:1.布加综合征;2.肝左叶外侧段囊肿;3.双肾囊肿。
MRI能显示盆腔的解剖结构,为男、女性盆腔肿瘤、炎症、转移等病变,提供重要的诊断依据。
案例:中年女性,体检超声发现右侧卵巢囊肿3年余,无自觉不适,月经周期及量均无异常;4个月前复查超声示子宫右后方囊实性肿块,考虑恶性肿瘤可能。MRI表现:子宫右后侧见一囊实性肿块,大小约76mm×62mm,内见分隔及囊壁结节,增强后扫描囊壁及壁结节强化,囊内并见强化的乳头状突起。
结论:盆腔内右侧附件区囊实性肿块,考虑右侧卵巢浆液性交界性乳头状瘤,最终病理为浆液-黏液性囊腺瘤。
MRI可清楚显示颈胸腰椎、椎间盘、椎管内结构及关节软骨、关节囊、关节液、关节韧带等细微结构,对脊柱、脊髓病变、关节软骨损伤性病变能提供诊断依据,高清臂丛骶丛显像比其它影像方法能更早地诊断出关节软骨变性与坏死。
案例:骑自行车撞伤,各种检查无果,MR诊断肋骨骨折。约心底及横隔水平左侧前肋局部信号不均匀,T2WI见斜行的低信号,相应肋骨不均匀稍高信号,肋骨周围软组织混杂稍高信号,边缘模糊。
结论:约心底及横隔水平左侧前肋骨折伴周围软组织水肿。
声明:文中案例为全景所有,不得下载,盗用必究