1.《PET-CT在胃肠道肿瘤方面的应用》和《PET-CT与MRI异机融合技术在腹盆腔肿瘤中的应用》 汇报人:王健璎
介绍了胃肠道肿瘤诊断与监测的新检查方法 PET-CT的应用,能够为临床提供了丰富的影像资料、解剖信息、分子影响信息、肿瘤代谢情况等。结合中心病例进行分析展示。
(1)明确转移灶查找原发灶


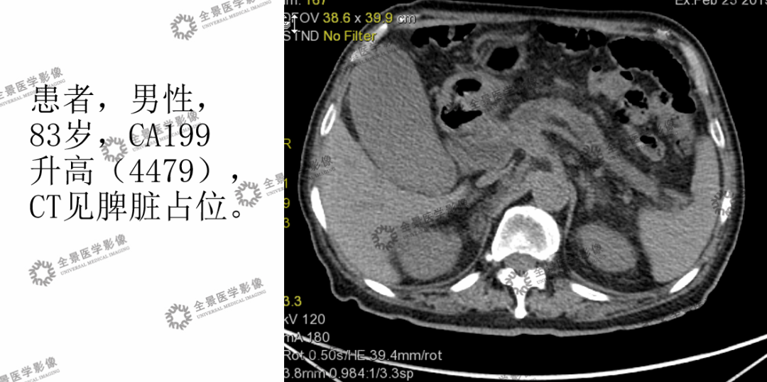
(2)肿瘤标志物升高查原因




(3)疗效对比
通过病例说明18F-FDG PET显像对胃肠道T分期、N分期、M分期的作用和在胃肠道肿瘤的原发灶检测、术前临床分期、预后评估、疗效检测和复发及转移病灶的监测等方面具有的价值。
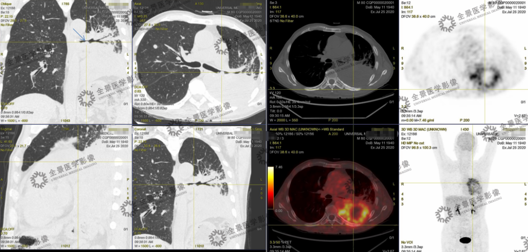
2.《PET/CT应用于肺癌的诊断、分期、预后的价值》 汇报人:刘芯言
介绍了PET/CT/MR优势,及在提供糖代谢信息时,各种反映肿瘤生物学特性的定性和定量信息,如弥散ADC值、灌注的F,D,D*等。不仅对于病灶的局部有更准确、更丰富的诊断信息,同时对于全身情况的判断也有更高的敏感性。能非侵入性地提供在体的定性和定量信息,实现在时空维度的肿瘤微环境及相互作用的信息监测。
(1)临床以感染性病变治疗后无效——病理肺癌


(2)肺癌(N、M分期)


(3)肺癌治疗后复——有无复发或是转移
病例说明18F-FDG对肺癌N分期灵敏度高,可以发现微小淋巴结转移灶,减少漏诊率,对某些部位其他影像检查易漏诊淋巴结转移灶敏感(锁骨下窝、内乳动脉旁、心膈角区、膈脚间隙、肋间隙、肋间间隙)。对肺癌M分期灵敏度高,特别是骨转移早期,其他影像学,比如CT/MR没有异常密度或是异常信号,PET/CT可发现异常代谢增高,对肺癌正确分期提供依据。
声明:文中案例为全景所有,盗用必究